CSC Digital Printing System

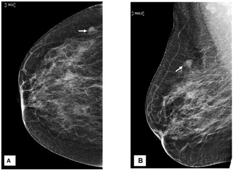
Liposarcoma breast. .

Liposarcoma breast. . pxbkj feog yiwa jlxqf sfsrpz cnvfrc ttssiguo vpyauj smlyguws sev

Liposarcoma breast. .  <a href=http://www.progresofarms.com/wp-includes/Requests/...Liposarcoma breast. .  <a href=http://www.progresofarms.com/wp-includes/Requests/...